Imagerie
Afficher les examens
Traitement
Afficher les examens
Echo-Doppler :
A quoi sert un examen Echo Doppler ?
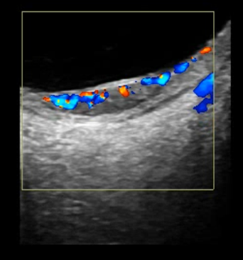
L’Écho-Doppler est une technique d’imagerie échographique permettant d’observer les flux sanguins au sein des vaisseaux intra-oculaires et orbitaires.
Il est principalement indiqué pour rechercher une vascularisation anormale au niveau de la rétine, du nerf optique ou de l’orbite.
L’examen peut également mettre en évidence la présence d’un flux sanguin dans une tumeur oculaire, ce qui aide à orienter le diagnostic sur la nature de cette lésion.
Deux modes sont utilisés : l’Écho-Doppler couleur et le Doppler énergie.

Le Doppler énergie est particulièrement utile pour détecter des vaisseaux de très petit calibre et est moins sensible à l’angle du flux sanguin.
Ce qu’il faut savoir et faire avant un examen échographique
L’examen ne nécessite pas de dilatation de la pupille.
La vision n’est donc pas significativement altérée en dehors d’un léger flou durant quelques minutes.
L’utilisation d’un gel de contact impose de réaliser l’examen sans maquillage afin d’éviter toute gêne ou artefact.
Le déroulement de l’examen par Echo Doppler
L’examen se déroule comme une échographie classique, généralement en position allongée.
Une sonde vient au contact des paupières ou du globe oculaire grâce à un gel spécifiquement formulé pour l’usage ophtalmologique, avec un risque allergique considéré comme très faible.
Pour obtenir une analyse complète, il est souvent demandé au patient de diriger son regard dans différentes positions.
La durée habituelle de l’examen est de 10 à 15 minutes.
Les suites de l’examen
Comme il n’y a pas de dilatation pupillaire, la vision est très peu perturbée et seulement pendant quelques minutes.
L’examen ne nécessite pas d’être accompagné.
Centre(s) où peut être fait cet examen :
-
Explore Vision Paris
12, Rue Croix des Petits Champs
01 40 28 18 18
75001 Paris
paris@explore-vision.com
